Dental Pictures Before and After at Kari Mann Dental Studio

The Proof Is In Our Patients

Schedule Your Appointment

Get Started

Before & After Photos

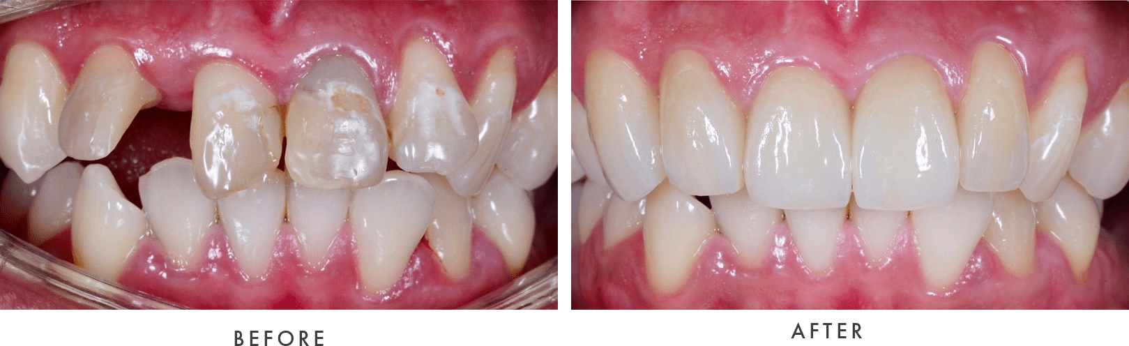
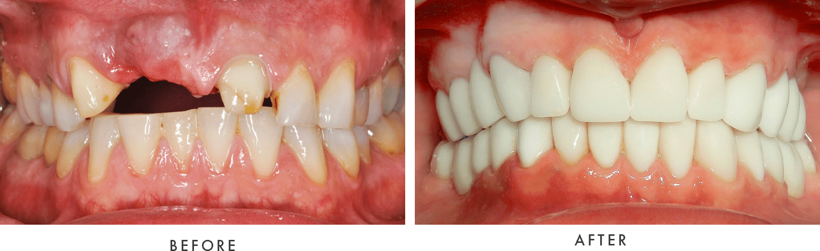
Dental Implants
dental implants - before and after
Dental Implants
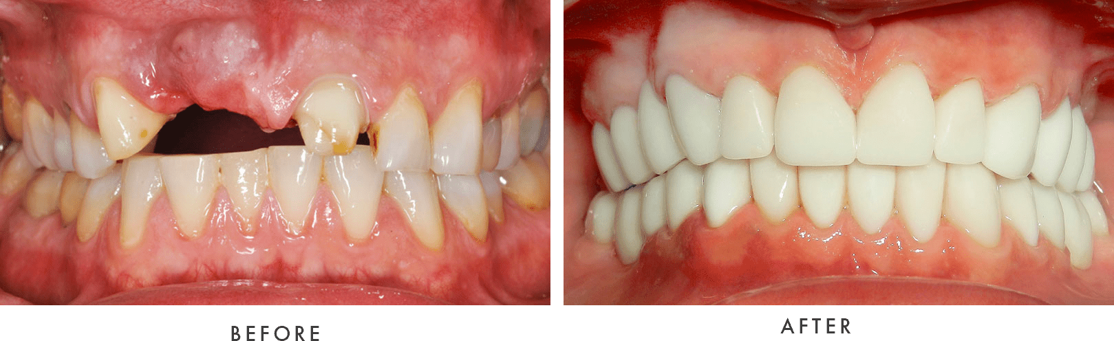
Full Mouth Dental Implants
Full Mouth Dental Implants
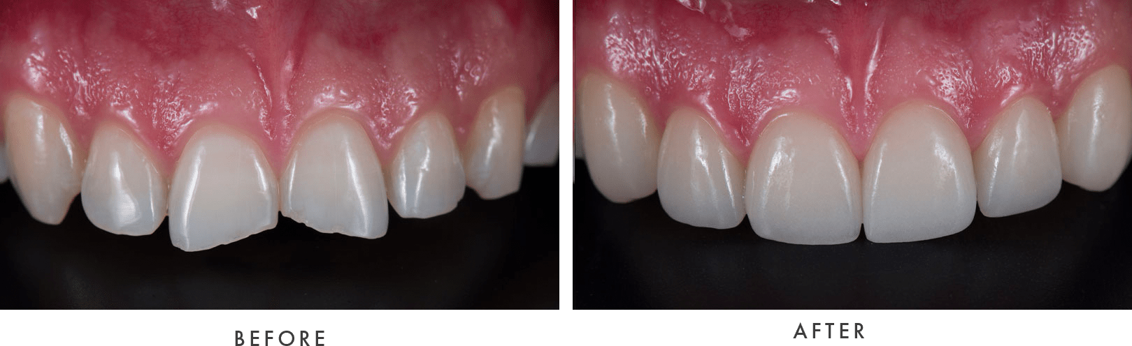
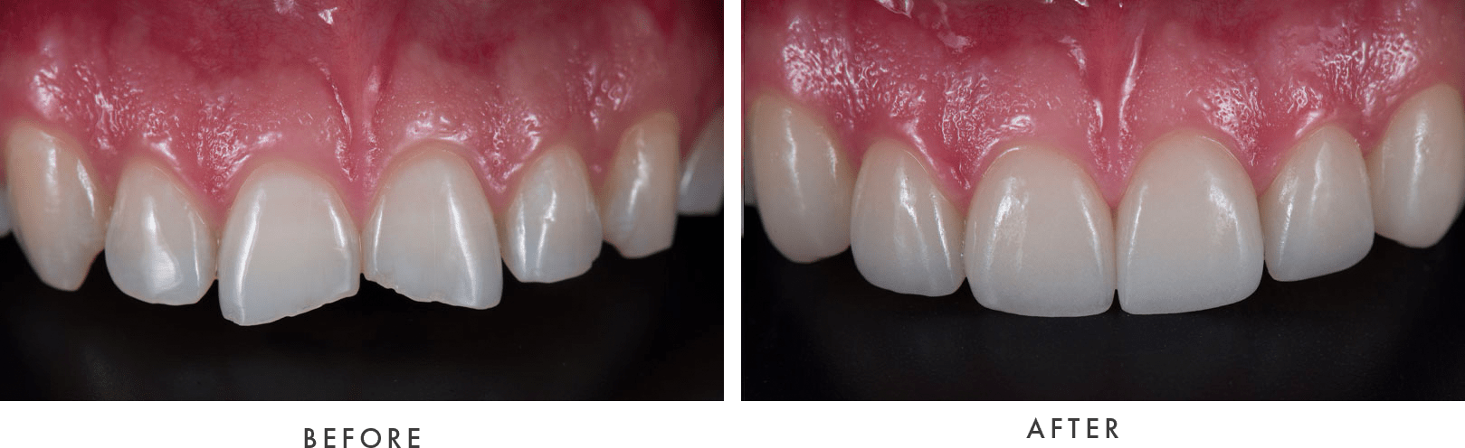
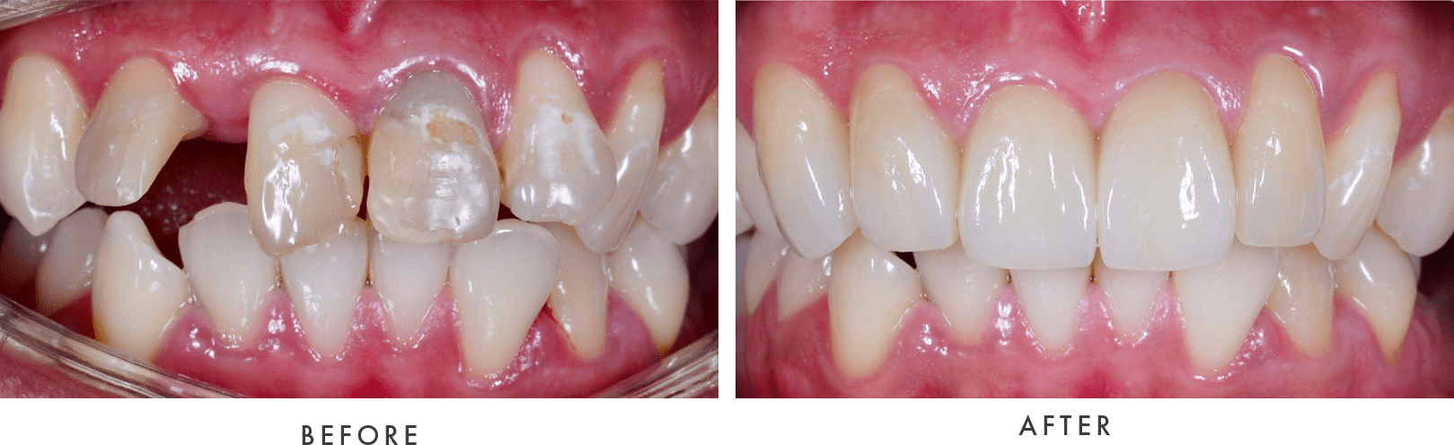
Porcelain Veneers
Porcelain Veneers
teeth whitening - before and after

Find out how life-changing dental implants can be for you!

Schedule an appointment

"*" indicates required fields

This field is for validation purposes and should be left unchanged.
Preferred Time
:

I understand the information disclosed in this form may be subject to re-disclosure and may no longer be protected by HIPAA privacy regulations and the HITECH Act.

schedule appointment

First Name(Required)
Last Name(Required)