Cosmetic Dentistry Services in Cape Coral, FL

Renew Your Smile Beauty with Cosmetic Dentistry

Schedule Your Appointment

Get Started
kari mann with doc discussing sedation dentistry
3:51

Dr. Kari Mann

Talks About Has Dental Anxiety Kept You From Receiving Care? We Can Help!

Because You Deserve a Beautiful, Long-Lasting Smile

If you’re embarrassed to smile or socialize due to the appearance of your teeth, cosmetic dentistry in Cape Coral, FL may be the ideal solution. Our restoration dentist, Dr. Kari Mann, has extensive experience creating beautiful smiles at Kari Mann Dental Studio. A personalized smile makeover that combines several cosmetic dentistry procedures is an ideal option for remedying multiple imperfections—even missing teeth. As a cosmetic dentist in Cape Coral, FL, Dr. Mann is dedicated to helping you achieve a stunning, confident smile tailored to your unique needs.

 

If you’re looking for top-quality, gentle cosmetic dentistry near you, you’ve found the right practice! Delivering fear-free dentistry at our ultra-comfortable and soothing office is as important to our team as clinical excellence. In addition to offering sedation dentistry, our adorable service pup, Doc, has soothed the nerves of many patients with his calming presence. Dr. Mann has helped countless patients achieve transformative results with cosmetic dentistry in Cape Coral, FL, and looks forward to doing the same for you!

joe with dr mann after dental procedure

Issues Cosmetic Dentistry Can Correct

Explore Our Cosmetic Dentistry Services in Cape Coral

Composite dental bonding is a minimally invasive and affordable method for concealing chips, discoloration or other minor flaws, closing small gaps and changing tooth shape to enhance overall smile aesthetics. The tooth-colored composite resin is the same material used to fill cavities. It’s hardened with the help of a blue lamp, then trimmed, shaped and polished to blend in with the rest of your teeth.

Professional teeth whitening in Cape Coral, FL is a cost-effective cosmetic dentistry procedure to restore brightness to your smile. Our in-office teeth whitening solution is carefully calibrated to your specific whitening needs and can produce excellent results in about an hour. We also offer at-home trays customized to your smile that are equally effective, although this option takes longer to produce results. Our restoration dentist will monitor your treatment to ensure whitening looks natural and is aesthetically pleasing.

Porcelain veneers and Lumineers are popular cosmetic dentistry procedures for crooked or chipped teeth, damaged or stained enamel and small gaps. Veneers are thin shells of porcelain that cover the front portion of individual teeth in your smile zone. With porcelain veneers, our restoration dentist removes a minimal layer of tooth enamel so the restorations fit seamlessly over your teeth. Lumineers are even thinner, so they require no enamel removal. Dr. Mann will help you select the best option to conceal your tooth flaws that also fit your budget.

Crowns are porcelain or ceramic “caps” that completely cover outer tooth enamel in teeth that are too damaged or decayed to be treated with composite fillings or bonding. Crowns are also required after a root canal procedure to protect the weakened tooth structure. With dental bridges, adjacent teeth are modified and fitted with crowns to support the false tooth in the center. Bridges effectively restore function and beauty to your smile, while preventing remaining teeth from shifting and altering your bite. Dental bridges can also be attached to dental implants instead of natural teeth to preserve the underlying bone.

Because your smile is an important part of your overall appearance and personality, it can make an impactful first impression. In fact, a less than ideal smile can negatively influence your personal, social and professional life, as well as your ability to eat the foods you love. Our skilled restoration dentist will discuss your smile goals and budget, then select a customized array of cosmetic dentistry procedures to create your beautiful smile makeover in Cape Coral, FL.

Crooked teeth almost always result in cosmetic concerns, even if their misalignment isn’t causing functional problems affecting your bite. There’s a range of orthodontic treatments available today that can be tailored to your needs. We’ll help you determine which one will most effectively correct your crooked teeth and improve the aesthetics of your smile. Orthodontic treatment generally lasts between 6-24 months, depending on your unique case.

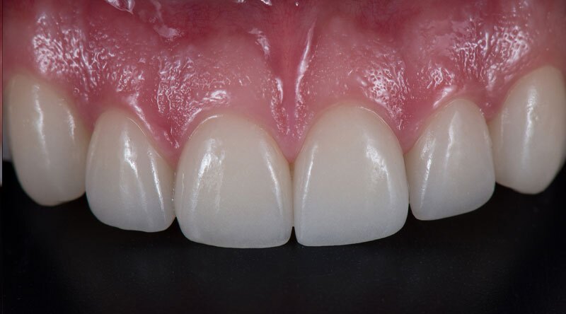
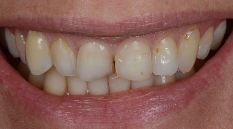
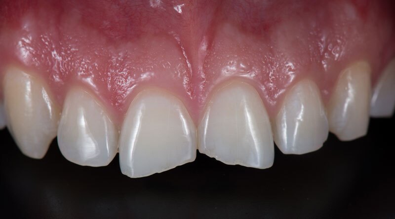
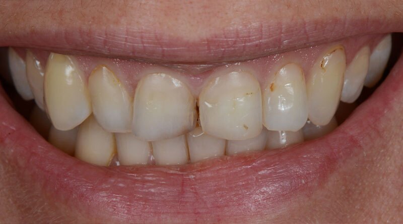
Before After
Before After
Before After
drmann-with-dental-patient-discussing-treatment
4:52

Dr. Kari Mann

Has A Conversation Between Patient Laura

Enhance Your Smile and Confidence with Cape Coral Cosmetic Dentistry

Schedule an appointment

"*" indicates required fields

This field is for validation purposes and should be left unchanged.
Preferred Time
:

I understand the information disclosed in this form may be subject to re-disclosure and may no longer be protected by HIPAA privacy regulations and the HITECH Act.

schedule appointment

First Name(Required)
Last Name(Required)