Full Mouth Dental Implants in Cape Coral, FL

Restore Confidence
In Your Smile

richard smiling outside after procedure
"My Past Affected The State Of My Teeth, Dr. Mann Restored My Smile"

Achieve Your Smile Goals with Full Arch Dental Implants

Are you struggling with tooth loss, making it difficult to enjoy your favorite foods, and leaving you feeling self-conscious about your smile?

 

The good news is that there is a solution that can restore both your confidence and your ability to eat comfortably! Dr. Kari Mann and her dedicated team in Cape Coral, FL offer a revolutionary treatment called all-on-four to six full-arch dental implants, which provide exceptional results for those with multiple missing teeth.

 

With the all-on-four to six dental implants protocol, you can regain the function and appearance of natural teeth. This innovative treatment involves strategically placing just four to six dental implants per arch, allowing for a streamlined and efficient process.

 

Not only do these implants offer long-lasting results, but they also provide a natural look that blends seamlessly with your existing teeth.

jon with dr mann discussing options
2:28

Dr. Kari Mann

Talks About How Technology Benefits Our Patients
joe with mann after makeover

Cutting-Edge Dental Implant Technology for Ultimate Patient Comfort and Care!

Dr. Mann and her team are committed to staying at the forefront of dental implant technology and techniques. By utilizing evidence-based practices, they ensure that each patient receives the highest quality care in a soothing and ultra-comfortable environment. Say goodbye to the discomfort and limitations caused by tooth loss and embrace the benefits of fully functioning, natural-looking teeth!

 

 

If you’re tired of the many consequences of tooth loss and want to regain your confidence, consider full-mouth dental implants. Dr. Mann and her team in Cape Coral, FL are here to guide you through the process and help you achieve a beautiful, healthy smile once again.

Traditional Dentures vs. Implant Supported Full Arch Solutions

Full-mouth dental implants here at Kari Mann Dental Studio provide several advantages over other tooth replacement solutions, such as conventional dentures. While impressions taken of your jaw help ensure conventional dentures fit snugly against your gums, ongoing bone loss can cause gum irritation, slippage, clicking, and falling out. Those who wear removable dentures need to limit the foods they eat, and some may even experience speech issues.

Full-mouth dental implants replace your natural tooth roots, so they fit and function like natural teeth, preserve bone, and even stimulate new growth. Removable implant-supported dentures stabilized by two or more dental implants can restore 60% of dental function, while fixed all-on-four to six full-arch dental implants can restore 99% of oral function and beauty. Since they’re permanently attached to dental implants that fuse with your underlying bone, you’ll never have to worry again about slippage, messy adhesives, cleaning solutions, painful gums, speech problems, or limiting the foods you eat!

denture in hand
snap on denture on teal counter
full arch implant model on counter
dr man discussing treatment options fixed vs non fixed
3:01

Dr. Kari Mann

Talks About Removable Dentures Vs. Fixed Full Arches

3 Steps to Restore Your Missing Smile with Kari Mann Dental Studio

If you’ve been dealing with the many repercussions of missing teeth, all-on-four to six can change your life! After the procedure, you’ll enjoy a beautiful new smile, restored oral function, and a boost to your self-confidence. At Kari Mann Dental Studio, we’ve seen firsthand how full-mouth dental implants in Cape Coral, FL transformed patients’ lives, and feel privileged to be able to deliver this life-changing treatment! When you receive full-mouth dental implants at our practice, the process is performed in three streamlined steps—with advanced digital technology and a compassionate touch from start to finish.

Step 1: Personalized Consultation and Planning

drmann-with-dental-patient-discussing-treatment
4:52

Dr. Kari Mann

Has A Conversation Between Patient Laura
Your full arch dental implants journey starts with an in-depth conversation with Dr. Mann about your smile goals, then continues with a review of your dental and medical history, an oral exam and diagnostic imaging. In addition to digital X-rays, we may use cone-beam computed tomography (CBCT) to analyze your bone structure, nerve tissue and sinus cavities. About 150–200 images created in less than a minute are compiled into a single 3D picture that she uses to precisely plan your dental implant surgery.

Step 2: Precision-Guided Implant Surgery

alan with tc receiving cbct scan to see full mouth scan

To ensure your ultimate comfort and alleviate any anxiety, we offer nitrous oxide and oral sedation in addition to using a local anesthetic to numb your gums. If you wish, our adorable service pup, Doc, can visit you just prior to surgery to further alleviate any worries. If you still have a few existing teeth, these are extracted along with any damaged gum tissue. The 3D image taken during your first visit helps Dr. Mann determine the most optimal areas in your jawbone to place implants, usually without the need for bone grafting.

First, Dr. Mann marks each insertion point on the surface of the bone, then drills small pilot holes for the implants, being careful to avoid contact with underlying nerves or sinus cavities. Once the implants are strategically placed and angled in areas with the densest bone, the gum tissue is placed back around the implants, and incisions are closed, either with sutures or a laser. Before leaving our office, you’ll be fitted with a temporary prosthesis, so you don’t have to live another day with an incomplete smile.

Step 3: Final Restorations for a New Smile

Dr. Kari Mann with dental implant patient after final restoration
It takes dental implants a minimum of three months to fuse with the underlying jawbone in a process called osseointegration. We recommend eating a soft-food diet for the first few months after the procedure in order to enable implants to fully integrate and bond with the surrounding bone. Once the healing process is complete, you’ll return to our practice and we’ll take another set of impressions to craft your final prosthesis. We offer zirconia, a high-quality ceramic material that looks and feels like natural teeth. Zirconia provides 10 times the strength as natural tooth enamel and up to five times that of porcelain.
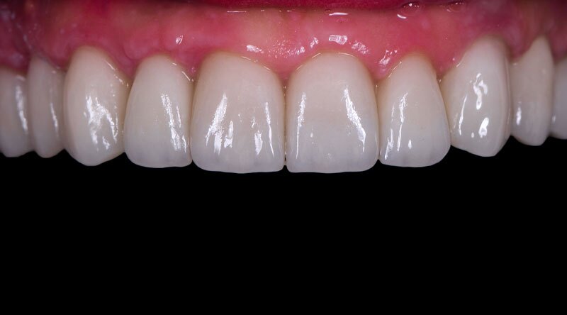
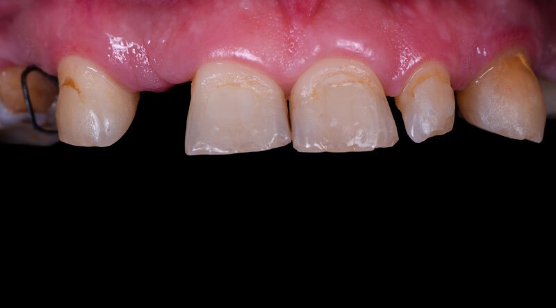
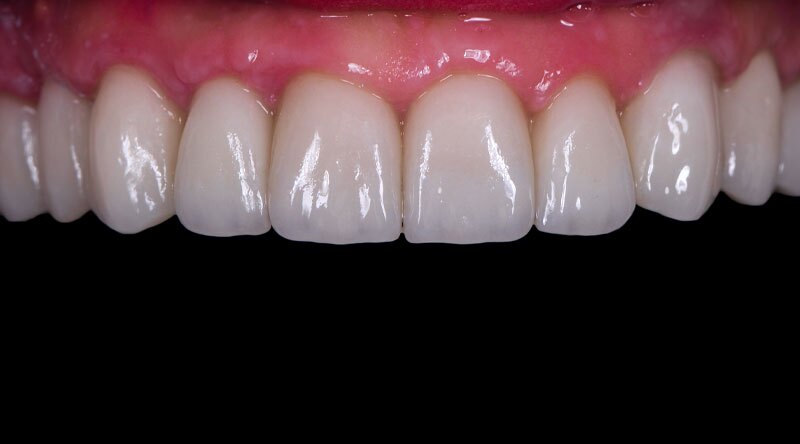
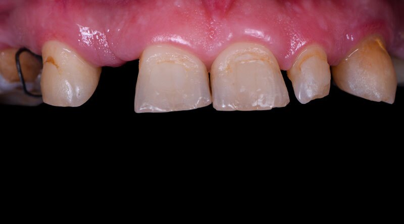
Before After
Before After
alan with new smile make over after implant placed

Get a Super Comfortable, Long-Lasting Smile

At Kari Mann Dental Studio, we think full mouth dental implants should be accessible to anyone who needs them. From day one, we pride ourselves on open communication and transparency about costs, so you’ll know what to expect and never be subjected to hidden fees.

 

We believe in providing all our patients with choices, including a removable or fixed prosthesis fabricated from your preferred material. Dr. Mann will discuss the costs, as well as the pros and cons of each option to help you make the best choice to meet your needs.

 

In addition to highly competitive prices, we offer third-party financing to make getting full mouth dental implants even more affordable.

Are You a Candidate for Dental Implants?

Discover Now

multiple dental implant model

Answer the Following Questions To Learn more about our pricing and financing options.

arrowaccent

Ready to Transform Your Smile and Life?

Schedule an appointment

"*" indicates required fields

This field is for validation purposes and should be left unchanged.
Preferred Time
:

I understand the information disclosed in this form may be subject to re-disclosure and may no longer be protected by HIPAA privacy regulations and the HITECH Act.

schedule appointment

First Name(Required)
Last Name(Required)